http://www.curasan.de/
Knochenaufbaugranulate

 

 


Werbefeld
240 Euro pro Jahr

 

 

Huberti Jentsch
Konfliktberatung bei mobilen
Zähnen und Implantaten

 

 

INCERMED S.A.
Herstellung von medizinischen und
chirurgischen Artikeln
4, av. de Provence
CH - 1000 Lausanne 20

Jentsch

Zirkonium Implantate
Vertrieb von Incermed-Produkten
Lichtentaler Str. 33
D - 76530 Baden-Baden

 

 

Startseite

Die Zirkonium-Ära

Bilder
Biopost

Bilder
Implantate

Bilder
Instrumente

Bilder

Prothetik

Kurse

Preisliste

Die Alternative für metallempfindliche Patienten

 


         Sigma-Implantate         TCS-Implantate      Informationen für Patienten

 


Stückpreis: € 230

Bivalentes Sigma-Implantat
Das bivalente SIGMA-Implantat gibt es in 
3 Durchmessern: 3.4 / 3.7  und 4.28 mm und 
2 Längen: 11.6 und 14.4 mm
Nur bei hartem Knochen wird noch ein Gewinde

geschnitten.
In der dreiwöchigen Einheilphase wird das Implantat mit einem schwarzen Kunststoffstift verschlossen, dessen Kopf abgetrennt wird. Die Gingiva wird nur noch bei Spezialfällen aufgeklappt. 

In der Regel wird die Gingiva mit dem Zirkonium- Rundschneider in Implantatkopfgröße ausgeschnitten

 

 

Materialeigenschaften

Anleitung zum Implantieren      

Fremdkörperreaktionen

 

 

 

 

Stückpreis: € 198

Zirkonium
Rundschneider

 

 

Polyvalentes Implantat
Beim polyvalenten Implantat wird der Abdruck auf einer ausbrennbaren Abdruckkapsel direkt auf dem Vierkantkopf (wie beim Wurzelstumpf) gemacht.
Die Durchmesser: 3.4 / 3.7 und 4.28mm; Längen: 13.7 / 14 / 14.5 / 16.5 und 18.5mm

 Anleitung zum Setzen von polyvalenten Implantaten      
 

 

 

Zirkonium SIG-Z Aufbaustifte für bivalente Implantate. (Stückpreis: € 50)

Langer Kopf:
Durchmesser 3mm für Protexband und Einzelaufbau.

Kurzer Kopf:
beschleifbar, Durchmesser 3.8mm

Anweisungen zum Setzen von SIG-Z Aufbaustifte

 

 

 

 

 

Histologischer Schnitt

Eingewachsenes Implantat

 

 

Das Implantat wird in der Regel während der Einheilphase nicht mehr mit der Gingiva überdeckt

 

 

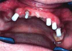
Hier sehen wir Implantate mit Zirkoniumaufbaustifte

 


 


 
Jentsch Zirkonium Implantate
Baden-Baden / Lichtentaler Str. 33
Tel: 07221-27.14.29 / Fax: 32
e-Mail: Hubertus-Jentsch@t-online.de